Formosa Dental Arts
Alexander Chang, DDS

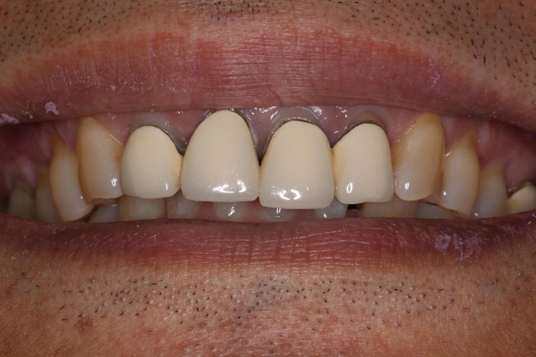
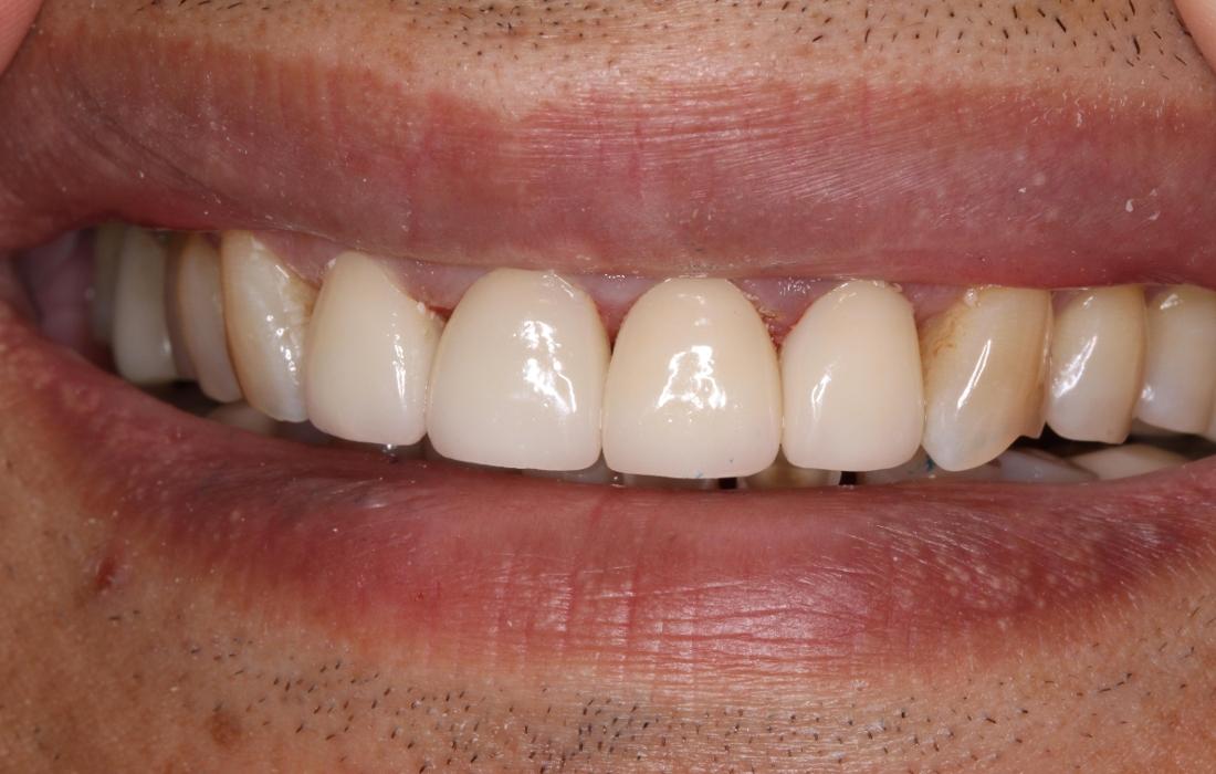
Upper Incisors

Patient presents to our office for check up.  The upper Porcelain-Fused-to-Metal (PFM) crowns were showing metal margins and severe decay was also noted.  We used this opportunity to remove underlying decay of his teeth and improve the esthetic and alignment of teeth.

Related Services:

Metal-Free Restorations
Still need an appointment?
If you have difficulty using our website, please email us or call us at (949) 679-1637
View the ADA Accessibility Statement
Privacy Policy