Formosa Dental Arts
Alexander Chang, DDS

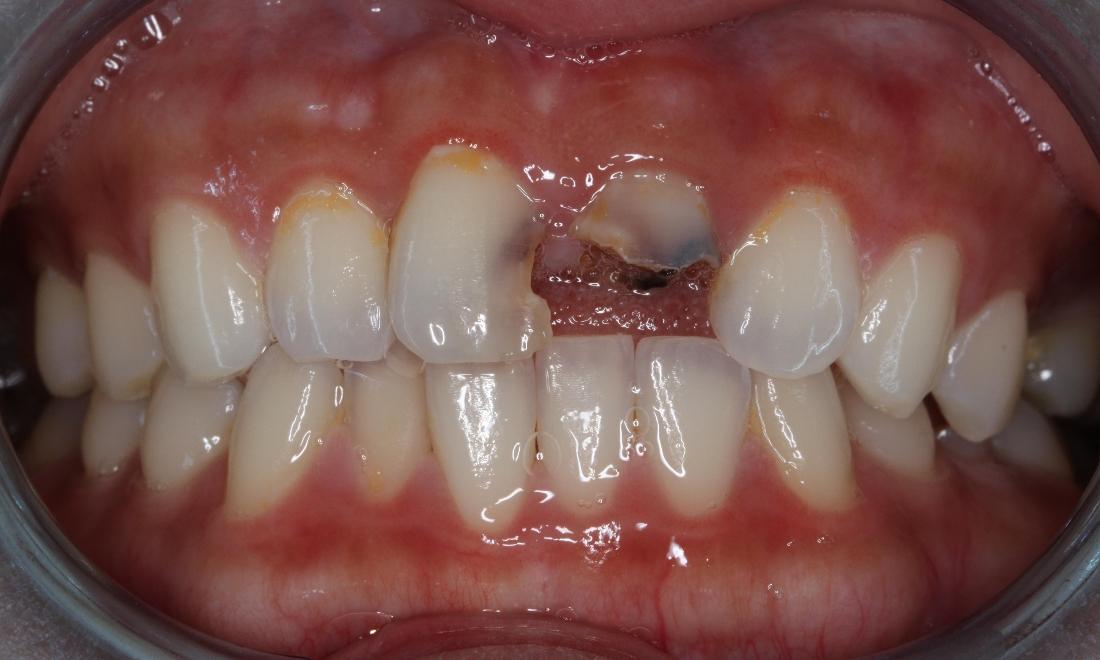
Upper Incisors

Patient presents with generalized severe decay but the most visible was, of course, the front teeth.  Fortunately, we were able to restore both teeth without having any extraction.  Considering patient's age, this is the best outcome for the patient.  This is another smile restored.  More importantly, we were able to re-establish patient's oral health and confidence.

Improve your smile today – call to schedule a consultation!
If you have difficulty using our website, please email us or call us at (949) 679-1637
View the ADA Accessibility Statement