Formosa Dental Arts
Alexander Chang, DDS

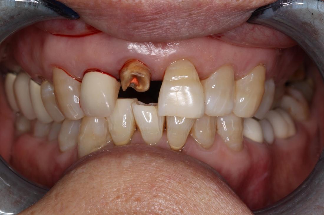
Upper Incisors

Patient presents with broken tooth and old crown that did not match her natural teeth. Patient wanted to take the opportunity to improve her esthetics. After discussing several options, we decided to treat her upper 4 incisors. Prior to finalizing, her teeth went through Zoom! whitening to achieve a more optimal shade. Finally, 3 crowns and 1 veneer were placed. In this case, we were able to restore functionality of the broken tooth, improved the shade and esthetics of her front teeth with a natural appearance, and improved the alignment of her front teeth.

Getting an appointment is fast and easy!
If you have difficulty using our website, please email us or call us at (949) 679-1637
View the ADA Accessibility Statement
Privacy Policy