Formosa Dental Arts
Alexander Chang, DDS

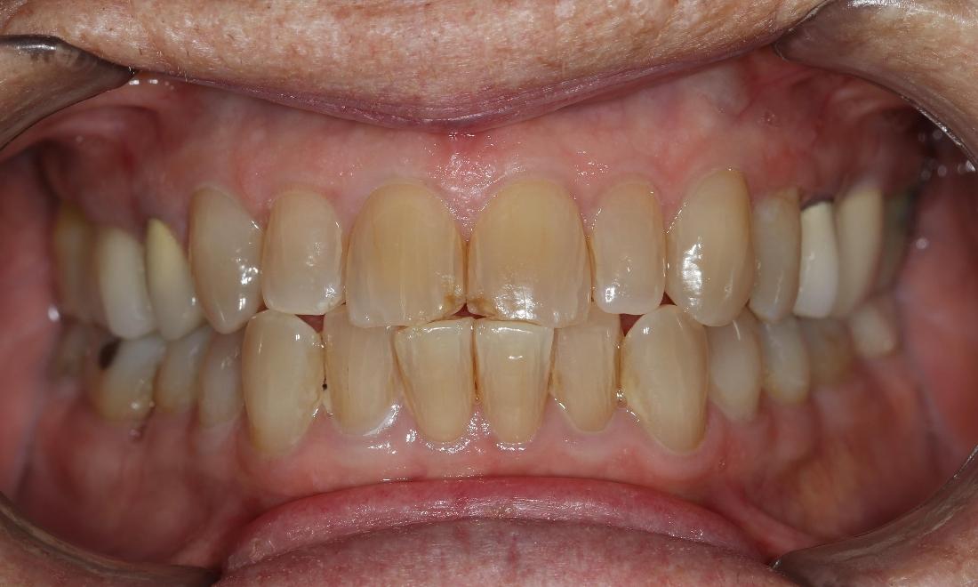
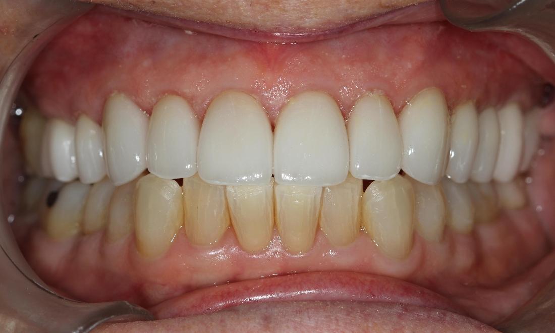
Upper Arch Restoration

Patient came with generalized chipped and cracked enamel with interproximal decay. We took care of her decay and cracked teeth via smile design for the upper arch.

Improve your smile today – call to schedule a consultation!
If you have difficulty using our website, please email us or call us at (949) 679-1637
View the ADA Accessibility Statement
Privacy Policy