Formosa Dental Arts
Alexander Chang, DDS
Formosa Dental Arts
Alexander Chang, DDS
Schedule an Appointment
Like us on Facebook
Visit us on Yelp
Instagram
(949) 679-1637
14200 Culver Dr, Suite 290 • Irvine, CA 92604
Home
About
Our Team
Technology
Office Pictures
Services
View All
Oral Sedation Dentistry
Custom Smile Design
Dental Implants
Complete (Full) and Partial Dentures
Laser Dentistry
Invisalign
Root Canal Treatment
Metal-Free Restorations
Periodontal Treatment
Philips Zoom! WhiteSpeed
Smile Gallery
Testimonials
Forms
FAQs
View All
Other
Complete (Full) and Partial Dentures
Dental Implants
Metal-Free Restorations
Oral Sedation Dentistry
Periodontal Treatment
In Office Plan
Financial
Contact
Formosa Dental Arts
>
Smile Gallery
>
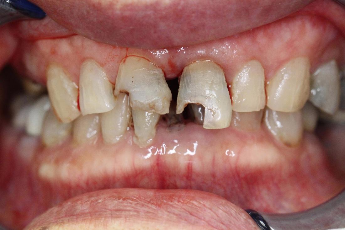
Upper Anterior Crowns
Upper Anterior Crowns
Return to Smile Gallery
Previous
Next
Patient had severe decay on front teeth and broke while eating. We were able to save her teeth by removing her decay, building up all the compromised structure, and replace the two front teeth with crowns.
Related Services:
Metal-Free Restorations
Drag the arrows back and forth to view complete Before and After views
Ready to book an appointment?
Schedule Now
If you have difficulty using our website, please
email us
or call us at
(949) 679-1637
View the
ADA Accessibility Statement
Turn on ADA Views
Privacy Policy
OK!
×
×
Contact Us Today
Give Us A Call
Formosa Dental Arts -
(949) 679-1637
Send Us an Email
Request an Appointment
Contact Us
Ready to Schedule an Appointment?
Book Online
Have Questions? Contact Us:
Required Field
Your Name:
Phone:
Email:
Are you a new patient?:
Are you a?
New Patient
Current Patient
How would you like us to contact you?
Please choose
Email
Call
How did you hear about us?
Please choose
I'm an existing patient
Google/Bing
Mailer
Word of mouth
Social media
Other
Who Referred You?:
Appointment Preferences
Your Message:
This site is protected by reCAPTCHA and the Google
Privacy Policy
and
Terms of Service
apply.
Sending...
×
This Patient's Experience
Loading Testimonial...
Loading Case...