Formosa Dental Arts
Alexander Chang, DDS

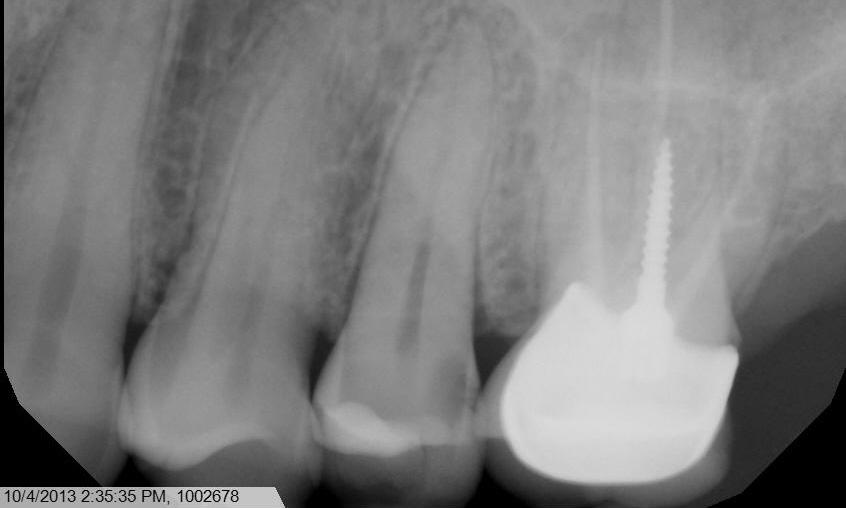
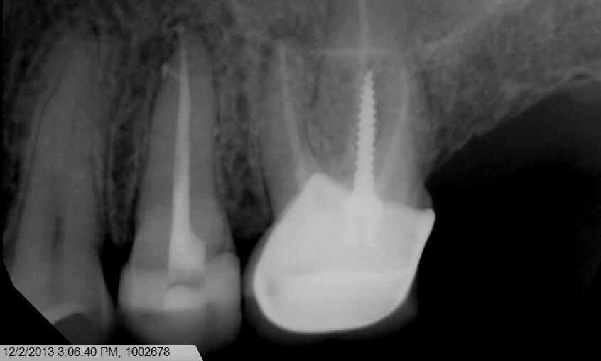
Root Canal Treatment

Root canal treatment. With the system we use, warm vertical fill of gutta percha is able to fill in lateral, or accessory, canal, which is difficult to achieve with traditional root canal treatment method.

Related Services:

Root Canal Treatment
Improve your smile today – call to schedule a consultation!
If you have difficulty using our website, please email us or call us at (949) 679-1637
View the ADA Accessibility Statement