Formosa Dental Arts
Alexander Chang, DDS

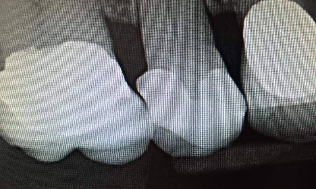
Poorly Contoured Restoration

Patient had a large amalgam filling with margin overhang the edge of the tooth, which can cause plaque and bacterial accumulation. This can potentially cause periodontal disease and tooth decay. The tooth was treated with all-ceramic crown to correct the overhang and prevent possible complications. Patient can now floss and maintain proper hygiene.

Related Services:

Metal-Free Restorations
Improve your smile today – call to schedule a consultation!
If you have difficulty using our website, please email us or call us at (949) 679-1637
View the ADA Accessibility Statement
Privacy Policy