Formosa Dental Arts
Alexander Chang, DDS

Periodontal Treatment

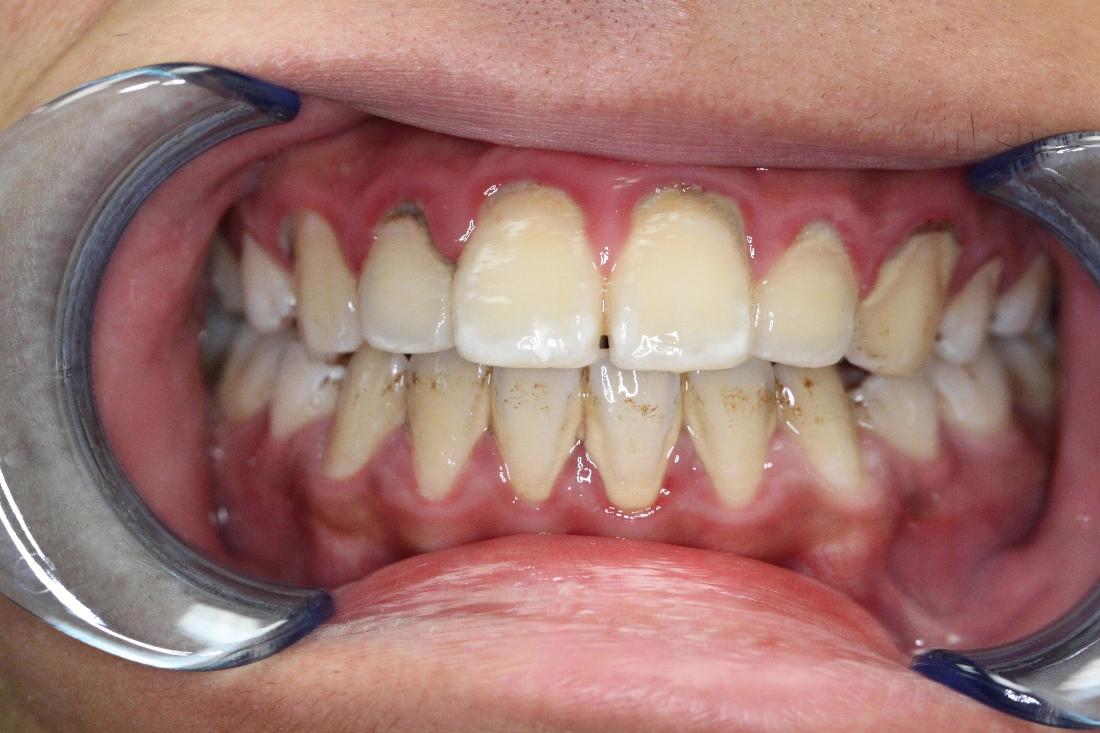
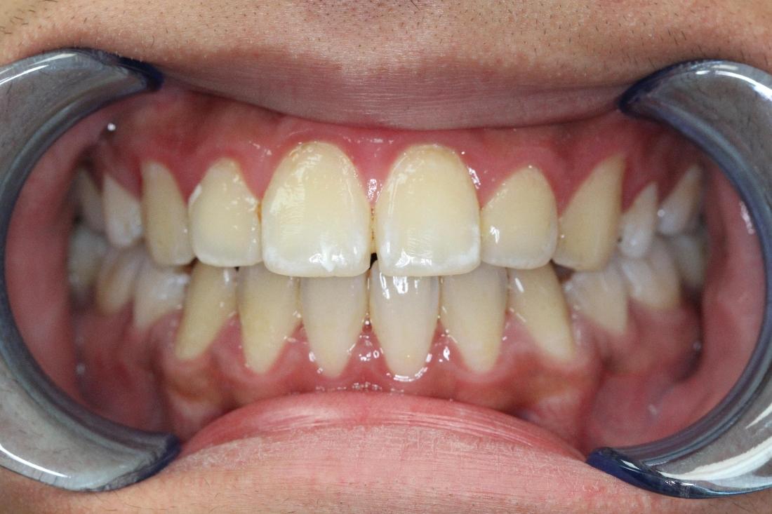
Patient presents with severe build up and periodontal disease. Last cleaning was done years ago. Upon periodontal treatment, patient's gum healed up nicely as expected. Oral hygiene and home care instructions were given. Patient is able to maintain his teeth.

Related Services:

Periodontal Treatment
Improve your smile today – call to schedule a consultation!
If you have difficulty using our website, please email us or call us at (949) 679-1637
View the ADA Accessibility Statement
Privacy Policy