Formosa Dental Arts
Alexander Chang, DDS

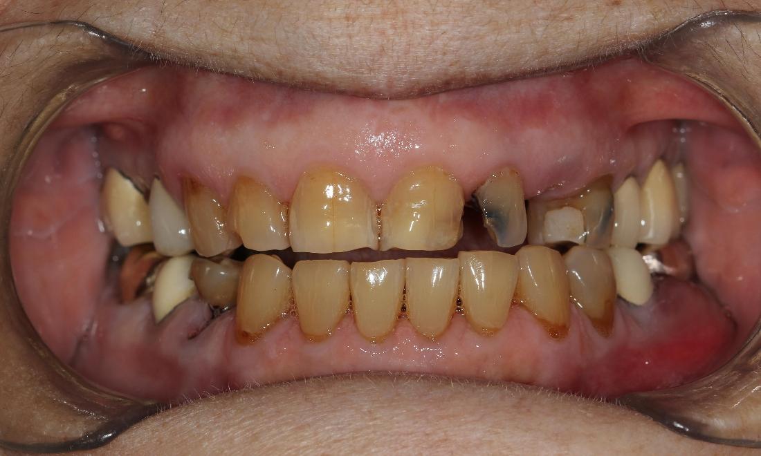
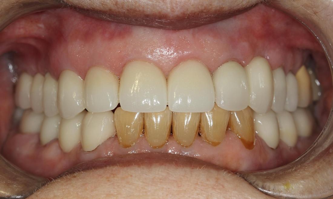
Full- Mouth Rehabilitation

Patient presents to our office with generalized decay and broken teeth. Nearly a full-mouth rehabilitation. Patient only wanted to treat problem teeth so lower front teeth were untouched. Rebuilt patient's smile and she was thoroughly impressed and satisfied with functionality and esthetics.

Ready to book an appointment?
If you have difficulty using our website, please email us or call us at (949) 679-1637
View the ADA Accessibility Statement
Privacy Policy